Синдром эмоционального выгорания: выявление, стадии и профилактика
В последнее время к работодателям приходит понимание, что охрана труда – это не только про отсутствие рисков на рабочем месте и эргономику рабочего пространства, но и про ментальное состояние сотрудников. Всё чаще люди обращаются к термину «синдром эмоционального выгорания», описывая своё истощение от работы, но мало кто действительно понимает, что это значит. Что это за синдром, что его провоцирует и как избежать его развития – об этом и не только рассказываем в статье.
Что такое синдром эмоционального выгорания?
Согласно определению Всемирной организации здравоохранения, синдром эмоционального выгорания (СЭВ) — это состояние, возникающее в результате хронического стресса на рабочем месте, который не был успешно преодолен. Также оно вызывается и сопровождается большой эмоциональной нагрузкой.
Симтомы эмоциоанльно выгорания-отсутствие мотивации и бессонница. 65% россиян ошибочно связывают профессиональное выгорание с полной потерей способности испытывать радость и счастье, а также с эректильной дисфункцией и шумом в ушах.
Изначально это явление приписывалось только работникам коммуникативных сфер деятельности: врачам, пожарным, полицейским, педагогам. Однако со временем исследования подтвердили, что в группе риска находятся и те, чья деятельность не связана с частой коммуникацией — программисты, спортсмены, инженеры и многие другие. Из так называемой «платы за сочувствие» выгорание превратилось в широко распространённую проблему.
Сам по себе синдром не является диагнозом, но классифицируется как фактор, влияющий на состояние здоровья населения и обращения в учреждения здравоохранения.
Важно понимать, что эмоциональное выгорание — это хроническое, а не острое состояние, при котором психические отклонения ведут к соматическим расстройствам, провоцирующим прогулы и увольнения.
Факторы, влияющие на развитие синдрома эмоционального выгорания
· Нехватка возможностей для личного карьерного роста.
Характерны потеря вовлеченности, низкая эффективность, падение показателей результативности.
· Неблагоприятная рабочая среда.
Токсичное отношение коллег, неуважение и прочие проявления недоброжелательности на работе.
· Недостаток профессионального признания.
Обесценивание работы сотрудников, недостаточное признание значимости выполняемой работы имеет один из самых высоких процентных показателей в исследованиях причин увольнения по собственному желанию.
· Замещение личной жизни работой и несоблюдение регламента рабочих часов.
Дисбаланс между профессиональной и личной жизнью — это прямой путь к выгоранию. Так, в азиатских странах ввиду трудового менталитета и негласных общественных правил возникает большой процент переработок, которые ведут даже к смертям на рабочим месте
· Однообразная или бессмысленная работа.
Невозможность переключаться между задачами и непонимание цели выполняемой работы способствуют появлению цинизма и редукции профессиональных достижений.
· Высокая ответственность при неочевидных результатах.
Не просто исполнители, а создатели имеют очень высокую степень неопределенности в работе и высокий уровень ответственности за принятие решений, что провоцирует перманентный стресс.
· Неопределённость.
Непонимание своих чётких задач, дедлайнов и ожиданий от результатов сильно подрывает эмоциональное состояние сотрудника.
· Некомфортные или опасные условия работы.
Неблагоприятные условия работы негативно отражаются на продуктивности сотрудников — например, в темном или шумном помещении сложнее сосредоточиться и легче стать подверженным стрессу.
· Психологический портрет сотрудника.
В группе риска находятся трудоголики и карьеристы, которые заряжены посвятить всего себя профессии и не позволяют себе лишний раз расслабиться.
12 фаз развития синдрома
Фаза 1. Самоутверждение. Как правило, выгорание начинается с ощущения недооцененности своей работы и себя начальством, коллегами, клиентами/пациентами. Человек понимает, что ему необходимо самоутвердиться, работая усерднее.
Фаза 2. Работать интенсивнее. В попытке компенсировать чувство недооценённости человек начинает работать интенсивнее, затрачивая больше ресурсов.
Фаза 3. Пренебрежение потребностями. Как следствие повышенной нагрузки появляются проблемы со сном, питанием и другими потребностями, включая социальное взаимодействие — начинаются задержки на работе, снижается количество общения с семьёй и друзьями.
Фаза 4. Пренебрежение конфликтами. Спустя какое-то время окружение начинает замечать, что с человеком что-то не так, говорит ему об этом, но он не восприимчив к комментариям со стороны окружающих на ранних стадиях выгорания и избегает вступления в конфликты на этой почве.
Фаза 5. Пересмотр ценностей. Происходит ещё большее дистанцирование от окружения, работа занимает выходные и вечера, стираются прежние ценности вроде проведения времени с друзьями или занятиями хобби.
Фаза 6. Отрицание появившихся проблем. Становится сложнее коммуницировать с людьми, появляется жалость к себе, цинизм и агрессия.
Фаза 7. Отстранение. Социальные контакты сводится к минимуму, всё свободное время заполняется работой. Появляются девиации поведения, отчетливо проявляются проблемы со здоровьем.
Фаза 8. Явные перемены в поведении. Человек перестаёт быть таким, как раньше, и это становится очевидно всем окружающим, а не только близким людям.
Фаза 9. Деперсонализация. Состояние проявляется в утрате способности чувствовать что-либо, всё вокруг воспринимается неяркой серой картинкой, а при некоторых формах деперсонализации происходит утрата собственной личности либо её расщепление (диссоциация).
Фаза 10. Внутренняя пустота. На этой стадии включаются механизмы компенсации пустоты — злоупотребление алкоголем, шопомания, заедание стресса или наоборот голодание. Из наиболее социально-приемлемых способов глушения стресса есть путь поиска экстрима в соответствующих видах спорта и досуга, уход в виртуальную реальность или же уход в саму работу.
Фаза 11. Депрессия. После безуспешных попыток заполнить внутреннюю пустоту наступает фаза клинической депрессии. Теряется смысл существования, нет утешения и поводов для оптимизма.
Фаза 12. Синдром выгорания. Сопровождается суицидальными мыслями, отклонениями в психическом и физическом здоровье. Появляется острая необходимость в медицинской помощи.
Как распознать выгорание?
Она включает в себя 22 утверждения о чувствах и переживаниях, связанных с работой, и для каждого из них предлагается 6 градаций оценки — от «никогда» (0 баллов) до «ежедневно» (6 баллов). По итоговой сумме баллов определяется состояние опрашиваемого: деперсонализация, редукция профессионализма (попытка сократить эмоциональные контакты на работе )или профессиональное истощение. https://psytests.org/psystate/maslach.html
В российской практике для диагностики синдрома эмоционального выгорания был разработан тест В. Бойко, состоящий из 84 вопросов, на которые нужно ответить «да» или «нет». В. Бойко выделяет три фазы синдрома эмоционального выгорания: напряжение, резистенция и истощение, и тест помогает определить, в какой фазе находится и находится ли индивид.
Помимо тестов и опросов, выгорание можно определить с помощью медицинской диагностики. С помощью электроэнцефалограммы (ЭЭГ) регистрируют четыре основных периодических ритма головного мозга, характеризующие разные состояния.
- альфа ритм — состояние спокойного бодрствования;
- бета-ритм — состояние активного бодрствования (напряжённая умственная деятельность) и глубокого сна;
- дельта- и тета-ритм — медленный сон и эмоциональные реакции на негативные ситуации.
Маркером наличия выгорания являются нарушения в отображении «спокойного» альфа-ритма — его уменьшение/отсутствие или нестандартный вид. Это может свидетельствовать о постоянной гиперактивности мозга и процессов, отвечающих за эмоции.
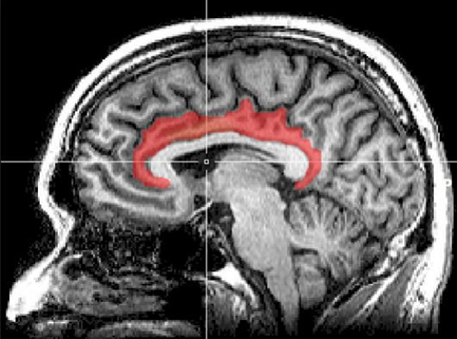
Магнитно-резонансная томография (МРТ) — ещё один вид диагностики, позволяющий идентифицировать синдром выгорания. За эмпатию, эмоциональную регуляцию и распознавание эмоций отвечает лимбическая система мозга (миндалевидное тело, гиппокамп, гипоталамус и поясная извилина). Соответственно, уменьшение активности в этих областях, отслеживаемое на МРТ, может служить маркером выгорания.

Поясная извилина — часть лимбической системы (снимок с МРТ)
При выявлении у себя или у кого-то из своего окружения признаков выгорания правильно будет обратиться (посоветовать обратиться) к психологу или психотерапевту. Поскольку само по себе выгорание не является психическим расстройством, оно не лечится медикаментозно — здесь важна именно работа над собой.
Профилактика СЭВ
Уровни профилактики СЭВ можно разделить на личный и организационный.
На личном уровне каждый сотрудник в зависимости от степени своей собственной осознанности может предпринять ряд профилактических мер, чтобы избежать появления синдрома.
- Установление баланса между работой и личной жизнью.
Для сохранения здоровья — как физического, так и психического — организму необходим регулярный отдых и наличие интересов помимо работы.
- Внедрение регулярной физической активности.
Тренировки и упражнения дают выход эмоциям, особенно негативным, и накопившемуся стрессу.
- Режим сна.
На сон влияет гормон мелатонин, а на его выработку влияет освещённость; так, синее свечение экранов нарушает его функционирование и приводит к нарушениям сна.
- Организация своей работы.
Важно планировать свой график так, чтобы работа была распределена равномерно, а не находиться в постоянном стрессе от дедлайна к дедлайну.
- Переключение между видами деятельности.
Однообразная рутинная работа не полезна для психоэмоционального состояния; нужно стараться вносить разнообразие в рабочие задачи.
- Своевременное обращение за помощью.
Наверное, самый трудный шаг — это осознать и принять проблему, чтобы вовремя обратиться к специалисту. В случае развития выгорания необходимо комплексное лечение от психолога/психиатра.
Профилактику СЭВ нужно проводить также на организационном уровне.
- Четко ставить задачи и цели сотрудникам.
Планирование исключает или сводит к минимуму неопределенность, а как мы уже выяснили, неопределенность — это один из факторов риска развития СЭВ.
- Урегулирование рабочих конфликтов.
Тимбилдинг, проведение тренингов с психологом и многое другое — всё это способствует формированию здоровой обстановки в коллективе. Для профилактики СЭВ среди сотрудников коммуникативных профессий пользуется популярностью методика Балинтовских групп, направленная на анализирование рабочих ситуаций, которые вызвали какие-либо затруднения в работе.
- Мотивация.
Повысить уровень мотивации можно с помощью системы поощрений, обучения сотрудников, включения специалистов в параллельные области, похвалы и/или обращения внимания на достижения конкретных сотрудников.
- Проводить обучение противодействию стрессу.
В настоящее время существует довольно много методик по саморегуляции: управление эмоциями, тревожными состояниями и стрессом в целом. Если научить сотрудников справляться со стрессом, это значительно снизит вероятность развития СЭВ.









